SEIKO EasyScan
Are your eyes in good shape?
We use cookies on the site for our own business purposes including keeping track of your preferences

Are your eyes in good shape?

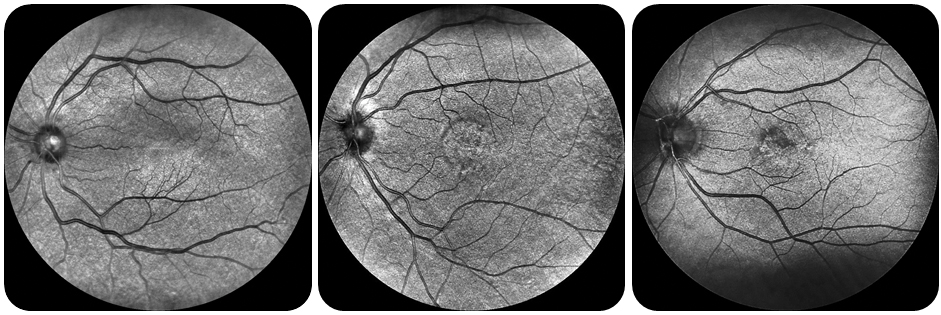
EasyScan shows the traces of high-energy blue light that is left on your retina.
Smartphones, tablets, PCs and HD television - all of these electronic devices, which play a big role in our everyday lives, emit blue light waves. They also contain high-energy visible blue light (HEVBL) that can cause tired eyes, headaches and exhaustion.
(Source: The market research institute Ipsos MORI has questioned 5,000 Europeans between 18 and 65 to find out about their technical equipment and its use as well as their lifestyle. Basis of this survey: 1,000 adults each between 18 and 65 in Germany, Great Britain, France, Italy and Spain. Time period: April 2014.)

High energy, visible light is the high-frequency light in the violet / blue spectrum of 400 to 500 nm in the visible range (Source: Wikipedia, bit.ly/1NiRQbW)
It has been known for some time that certain wavelengths of blue light are harmful to the retina of the eye tissue.
They block the production of serotonin, which, inter alia, sleep cycles, the intraocular pressure and the focus in front of retina regulated. The latter leads to a greater strain on our eyes, causing fatigue and myopia.
Various recent studies also show that the oxidative damage to the pigment epithelium of the retina are reinforced by the response to blue light and in some patients may lead to an earlier onset of macular degeneration.
(Karpecki, 2014, Schepens Eye Research Institute and Harvard University)
As the UV light affects your retina, present your SEIKO Spezialist with the help of an iPads and SEIKO Digital MultiTool life!

Visible Blue Light damage accelerated aging process
